牙齿矫正的方法具体有哪几种
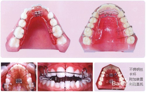
1、活动矫治器
这种牙齿矫正的方法主要用于乳牙或替牙期的牙齿不齐患者,患者可以自己摘戴,比较简单。同时也可以配合固定矫治器进行矫正,使牙齿矫正更多加快速。

2、固定矫治器
这种牙齿矫正的方法主要用于恒牙时期的牙齿矫正,患者不可以自己摘除,需要医生操作取下。也是目前比较常用的一种牙齿矫正方法。

3、正颌外科牙齿矫正
有些患者的牙颌面畸形比较严重,如上颌后缩,下颌前突等等,如果采用矫治器进行牙齿矫正的效果不明显。而通过正颌外科和矫治器相配合效果更加好。

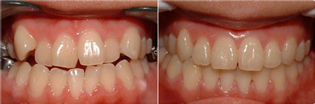
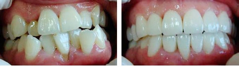
4、美容冠牙齿矫正
对于成人来说因为传统牙齿的矫正难度比较大,所以一般采用美容冠牙齿矫正方法,它是在原有的牙齿上对牙齿进行处理,最后用牙冠加以修复,从而达到牙齿矫正的目的。也是成人快速牙齿矫正的方法。

1、乳牙期阶段(4—5岁)
这个时期如果出现乳牙反颌(地包天),及早进行牙齿矫正有利于上颌骨发育,预防恒牙反颌。
2、替牙期阶段(女孩:8—10岁,男孩:9—12岁)
这个时期比较容易发生面型异常和牙齿排列异常等情况,应及时检查看是牙性和骨性错颌畸形,明确治疗方案。
3、恒牙期阶段(女孩:11—14岁,男孩:13—15岁)
儿童这个时期牙齿已替换成了恒牙,牙骨骼也已经基本定型,一些常见的牙齿畸形在这个时期进行矫正都可以得到很好的牙齿矫正效果。
